ADផ្ទាំងផ្សព្វផ្សាយពាណិជ្ជកម្ម

Picture

ចាប់បានហើយ! ជនសង្ស័យ​បើក​ឡានបុ.ក​នគរ​​បាល​ចរាចរណ៍ ​​គឺ​ជា​នគ​រ​បាល​ក្រុង​ស្វាយ​រៀង​ជា​មួយ​​គ្នា​

1 ឆ្នាំ មុន
  • ស្វាយរៀង

ខេត្តស្វាយរៀង ​៖​ មាន​ករណី​គ្រោះថ្នាក់​ចរាចរណ៍​ដ៏​រន្ធ.ត់​​​មួយបានកើតឡើង ​ខណៈលោកនាយ​រង​ផ្នែក​

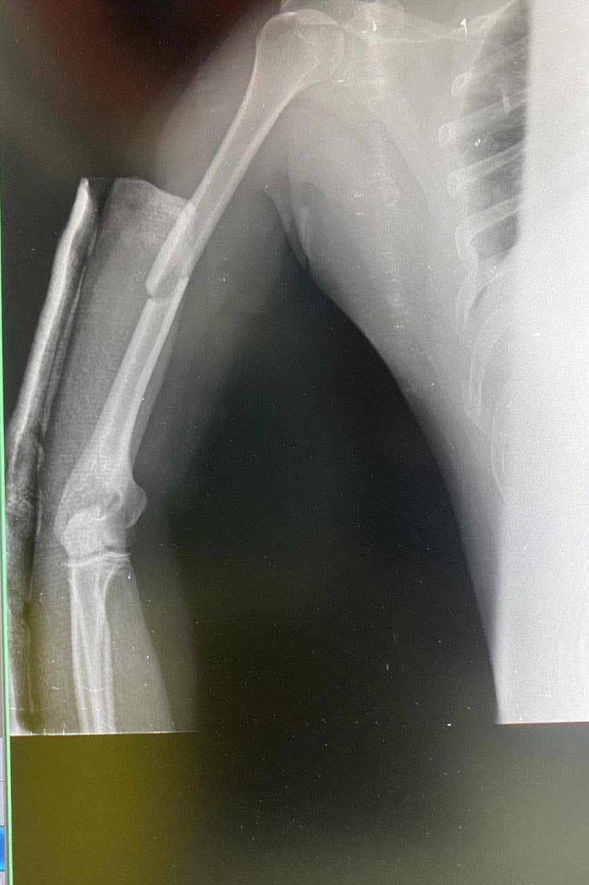
ខេត្តស្វាយរៀង ​៖​ មាន​ករណី​គ្រោះថ្នាក់​ចរាចរណ៍​ដ៏​រន្ធ.ត់​​​មួយបានកើតឡើង ​ខណៈលោកនាយ​រង​ផ្នែក​សណ្តាប់ធ្នាប់​នគ​បាល​ចរាចរណ៍​នៃ​អធិការដ្ឋាន​នគ​បាល​ក្រុង​ស្វាយ​រៀង​ម្នាក់​កំពុងឈរមើលសណ្តាប់ធ្នាប់នៅលើចិញ្ចឹមផ្លូវ​ជាតិលេខ១ ស្រាប់តែត្រូវ​​រថយន្តមួយគ្រឿងម៉ាកព្រូស ពណ៌ស បុ.កយ៉ាង​ពេញទំហឹង បណ្តាល​ឱ្យលោក​នាយ​រង​ផ្នែក​សណ្តាប់ធ្នាប់​ចរាចរណ៍​​រូប​នោះ​រង​របួស​ធ្ងន់ធ្ងរ បាក់ឆ្អឹងជំនីរ​ បាក់ដង​កាំបិត បាក់ដៃ​ម្ខាង ដាច់​ជង្គង់​ទាំង​សងខាង បាក់​ថ្គាម និង​ពក​ក្បាល​ធ្ងន់ធ្ងរ​សន្លប់​នៅ​និង​កន្លែង​គួរ​ឲ្យ​ស​ង្វេ​គ​​។​

ករណី​គ្រោះថ្នាក់​ចរាចរណ៍​ខាងលើ​នេះ​បាន​កើតឡើង​កាលពី​វេលា​ម៉ោង​៦​និ​១០​នាទី​ព្រឹក​ថ្ងៃ​ទី​៣០​តុលា​ ឆ្នាំ​២០២៣ នៅ​ខាងកើត​ផ្លូវបំបែក​ជា​បួន​ (​លើ​ចិញ្ចើម​ផ្លូវជាតិ​លេខ​១)​ ត្រង់​ចំណុច​ខាង​មុខ​ហាង​លក់​ម៉ូតូ ស្ថិត​នៅ​ភូមិ​បាក់​រនាស់ សង្កាត់​សង្ឃ​រ័ ក្រុង​ស្វាយ​រៀង សមត្ថកិច្ច​ដាក់​ការ​សង្ស័យ​ថា ជន​បង្ក​មាន​ចេតនា ។​

តាម​ប្រភព​សមត្ថកិច្ច​បាន​បង្ហើប​ឲ្យ​ដឹង​ថា មុន​ពេល​កើតហេតុ មហាជន​បានឃើញ​ជន​រង​គ្រោះ គឺ​លោក​អនុសេនីយ៍ឯក នាង សុ​ខន​រ៉ា នាយ​រង​ផ្នែក​សណ្តាប់ធ្នាប់​ចរាចរណ៍​នៃ​អធិការដ្ឋាន​នគ​បាល​ក្រុង​ស្វាយ​រៀង បាន​ឈរ​មើល​សណ្តាប់ធ្នាប់​នៅ​លើ​ចិញ្ចើម​ផ្លូវជាតិ​លេខ​១ ត្រង់​ចំណុច​ខាងកើត​កែង​ផ្លូវបំបែក​ជា​បួន ខាង​មុខ​ហាង​លក់​ម៉ូតូ បែ​មុខ​មក​ខាងលិច​ឈៀង​ខាងត្បូង ។ មួយ​សន្ទុះក្រោយ​មក គេ​ឃើញ​មាន​រថយន្ត​១​គ្រឿង​ម៉ាក​ព្រូស ពណ៌​ស បើក​ពី​ទិស​ខាង​លិចទៅ​កើត​យ៉ាង​លឿន លុះ​ទៅ​ផុត​ផ្លូវបំបែក​ជា​បួន បាន​ប្រមាណ​១០០​ម៉ែត្រ​ចំណុច​ខាង​មុខ យានដ្ឋាន​ជួសជុល​រថយន្ត​ស្រាប់​ចាប់​ហ្វ្រាំង​បង្អង់​ល្បឿន​រួច​បត់​មក​ក្រោយ​វិញ​បើក​ពី​ទិស​ខាង​កើតមក​លិច​យ៉ាង​លឿន​សំដៅ​មក​បុ.ក​ជន​រង​គ្រោះ​ពេញទំហឹង​ប៉ើង​ហោះ​ទៅ​លើ​ខ្ទា.ត​ចម្ងាយ​ជាង​១០​ម៉ែត្រ ធ្លាក់​មក​លើ​ថ្នល់​សន្លប់​ឈឹង​តែ​ម្តង​សំណាងល្អ​រថយន្ត​១​គ្រឿង​មក​ពី​លិច​មិន​បាន​​កិ.ន ​បើ​កិ.នវិញ​​មិនដឹង​យ៉ា​ណា​នោះ​ទេ​។

ចំណែក​រថយន្ត​បង្ក​បាន​បន្ថែម​ល្បឿន​យ៉ាង​លឿន​បើក​សំដៅ​មក​ចូល​ក្នុង​ក្រុង​ស្វាយ​រៀង​បាត់ ខណៈនោះ​សមត្ថកិច្ច​ដែល​ឈ​ជើង​នៅ​កន្លែង​កើតហេតុ​នោះ​បាន​ជិះ​ម៉ូតូ​២​គ្រឿង​ដេញ​តាម​រថយន្ត​បង្ក រហូត​មក​ដល់​រង្វង់​មូល​នាគ​រាជ្យ ខាង​មុខ​សាលាដំបូង​ខេត្ត ក៏​បាត់ដាន​ទៅ ។ ​ចំណែក​ជន​រង​គ្រោះ​ត្រូវ​សមត្ថកិច្ច​ហៅ​រថយន្ត​សា​មុ​យ​នៃ​មន្ទីរពេទ្យ​ខេត្តស្វាយរៀង​បញ្ជូន​ទៅ​មន្ទីរពេទ្យ​កាល​ម៉ែត្រ​រាជធានី​ភ្នំពេញ​ដើម្បី​សង្គ្រោះ​ ។ ​សំណាងល្អ នៅ​កន្លែង​កើតហេតុ មាន​ដាក់​កាម​រ៉ា​សុវត្ថិភាព បានឃើញ​ភិនភាគ​រថយន្ត​បង្ក តែ​មើ​ល​មិនឃើញ​ស្លាក​លេខ ក៏​ប៉ុន្តែ​សមត្ថកិច្ច​បាន​ដាក់​កម្លាំង​ស្ទាក់​គ្រប់​ផ្លូវ ក្នុង​និង​ក្រៅ​ក្រុង​ស្វាយ​រៀង រហូត​ដល់​ម៉ោង​៦យប់​​ថ្ងៃ​ដ៏​ដែល​ទើប​រក​ឃើញ​រថយន្ត​បង្ក​ម៉ាកព្រូស ពណ៌​ស ពាក់​ស្លាក​លេខ​ ភ្នំពេញ 2BR-5841 យក​ទៅ​លាក់​ទុក​នៅ​ក្នុងផ្ទះ​មួយ​ក្នុងភូមិ​រោង​បន្លែ សង្កាត់​ស្វាយ​រៀង បាន​ឆែកឆេ​ក្នុង​រថយន្ត បានឃើញ​កាត​គ្រី​រថយន្ត​និង​អត្តសញ្ញាណ​ប​ណ្ណ័​ចម្លង​មួយ​សន្លឹក​ទើប​ស្រាវជ្រាវ រហូត​ចាប់ខ្លួន​ជនសង្ស័យ​បាន​។

តាម​ប្រភព​បន្ត​ថា ជនសង្ស័យ​ឈ្មោះ ប្រាក់ ឯម​សា​រ៉ា​វុ​ធ ​អាយុ​​២៩​ឆ្នាំ​ ជា​មន្ត្រី​នគ​បាល​ផ្នែក​អន្តរាគមន៍​នៃ​អធិការដ្ឋាន​នគ​បាល​ក្រុង​ស្វាយ​រៀង​ដែរ មាន​ទីលំនៅ​ភូមិ​រោង​បន្លែ​សង្កាត់​ស្វាយ​រៀង​ក្រុង​ស្វាយ​រៀង ជា​កូន​មន្ត្រី​គយ ។ ជនសង្ស័យត្រូវសមត្ថកិច្ច​ចាប់ខ្លួនបាន​នៅ​វេលា​ម៉ោង​៨​និង​១០​នាទី​យប់​។ បើ​តាម​សាច់ញាតិ​​របស់​ជនសង្ស័យ បាន​និយាយ​ថា មិនមែន​មាន​ចេតនា​បុ.ក​ជន​រង​គ្រោះ​ដូច​ការ​សង្ស័យ​ពី​សមត្ថកិច្ច​នោះ​ទេ គឺ​មក​ពី​ ងងុយដេក​ងោក​មួយភាំង ទើប​បង្ក​គ្រោះថ្នាក់​បែប​នេះ​។​

ដោយ​ជន​បង្ក​បាន​បើករថយន្ត​ទៅ​លេង​នៅ​ខេត្តសៀមរាប​កាលពី​ថ្ងៃ​សុក្រ​ ទី​២៧-២៨ ​តុលា​ ដល់​ថ្ងៃ​អា​ទិត្យ​ ទី​២៩​ តុលា​ ​ឆ្នាំ​២០២៣ វេលា​ម៉ោង​៦​​យប់ ​ទើប​ត្រឡប់​មក​វិញ រថយន្ត​មិន​ស្រួល​ខូច លុះ​ព្រឹក​ឡើង​ថ្ងៃ​ច​ន្ទ័ ទី​​៣០ តុលា យក​ឡាន​ទៅ​ធ្វើ​ជួសជុល ពេល​ទៅ​ដល់​យានដ្ឋាន​ជួសជុល​មើលទៅ​មិនឃើញ ជាង​បើកទ្វារ​ ក៏​បើករថយន្ត​ត្រឡប់​មក​ផ្ទះ​វិញ ស្រាប់​តែង​ងឹត​មុខ ទើប​រេ​ចង្កូត​ទៅ​បុ.ក​ជន​រង​គ្រោះ​តែ​ម្តង​។

ទោះ​បី​យ៉ាង​​ណា​ក៏​ដោយ សមត្ថកិច្ច​នៅ​តែ​ដាក់​ការ​សង្ស័យ​ថា​មាន​ចេតនា ដូច្នេះ​សមត្ថកិច្ច​កំពុងធ្វើការ​សាកសួរ ជនសង្ស័យ​ឆ្លើយ​ថា ខ្លួន​ង​ងឹត​មុខ​ងងុយដេក​។ ក៏​ប៉ុន្តែ​បើ​តាម​ការ​ស្រាវជ្រាវ​បឋម ៖ចំណុចទី​១ មើល​តាម​រូបភាព កាម​រ៉ា​សុវត្ថិភាព ជន​រង​គ្រោះ​ឈ​នៅ​លើ​ដី​ចិញ្ចើម​ផ្លូវ រថយន្ត​បើក​ល្បឿន​លឿន បើក​ពី​ទិស​ខាងកើត​តាម​ចេញ្ចើម​ផ្លូវ​មក​បុក​ជន​រង​គ្រោះ​តែ​ម្តង បុ.ក​ប៉ើង​ហោះ​ខ្ទា​តចម្ងាយ​ជាង​១០​ម៉ែត្រ​ហើយ​បន្ថែម​ល្បឿន​យ៉ាង​លឿន​ទៅ​មុខ​គ្មាន​រេ​ចង្កូត​អ្វី​ទេ ។​

ចំណុច​ទី​២-បុ.ក​ហើយ​បើក​រត់គេច​មិន​ទទួលខុសត្រូវ​ ។ ​​ចំណុច​ទី​៣-បើ​តាម​ការ​ស្រាវជ្រាវ​បឋម ជនសង្ស័យ បើករថយន្ត​ពី​ទឹ​ស​ខាង​លិចទៅ​កើត ទំនងជា​ឃើញ​ជន​រង​គ្រោះ ឈ​នៅ​លើ​ចិញ្ចើម​ផ្លូវ ទើប​បើករថយន្ត​ទៅ​មុខ​ហួសប្រមាណ​ចម្ងាយ​១០០​ម៉ែត្រ ក៏​បង្អន់ល្បឿន​រថយន្ត​រួច​បត់​ត្រឡប់​មក​ក្រោយ​វិញ រួច​បើករថយន្ត​យ៉ាង​លឿន​តម្រង់​មក​បុ.ក​ជន​រង​គ្រោះ​តែ​ម្តង ទើប​សមត្ថកិច្ច​ដាក់​ការ​សង្ស័យ ហើយ​ត្រូវ​តែ​ធ្វើការ​ស្រាវជ្រាវ​រក​សាក្សី​នៅ​កន្លែង​កើតហេតុ​មក​សាកសួរ និង​សាច់ញាតិ​ជន​បង្ក មក​សាកសួរ និង​សួរ ជនសង្ស័យ ដើម្បី​កសាង​សំណុំរឿង​បញ្ជូន​ទៅ​លោកស្នងការ​ចាត់ការ​បន្ត លទ្ធផល​យ៉ា​ណា​នោះ សូម​រង់ចាំ ការ​សាកសួរ​និង​ស្រាវជ្រាវ​បញចប់​សិន​។​

បច្ចុប្បន្ន​ជន​រង​គ្រោះ​កំពុង​សម្រាក​ព្យាបាល​នៅ​មន្ទីរពេទ្យ​កាល​ម៉ែត្រ​រាជធានី​ភ្នំពេញ បាន​ធូ​រ​ស្រាល​បន្តិច ​ហើយ​គ្រូពេទ្យ​សង្ឃឹមថា​រួច​ផុត​ពី​គ្រោះ​ថ្នាក់​ដល់​អាយុជីវិត​ហើយ​៕​

អត្ថបទសរសេរ ដោយ

កែសម្រួលដោយ